Signs and Symptoms of Periodontal Disease

Signs and sypmtoms to periodontal disease are:

  • Gums that bleed when you brush your teeth,
  • Red, swollen or tender gums,
  • Gums that have receded or pulled away from the teeth,
  • Persistent bad breath or bad taste,
  • Pus between your teeth and gums when you press your gums with your finger,
  • Teeth that seem loose or change position, often the front teeth tend to “fan” out,
  • A change in your bite,
  • A change in the way your partial dentures fit.

 

Stages in Periodontal Disease Progression:

Tesuturile normale, sanatoase Tesuturile normale, sanatoase

Normal Healthy Tissues:

The gums are firm and pink. The bone is healthy and supports the teeth.

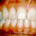
Gingivita Gingivita

Gingivitis:

Bacterial Plaque collects on the teeth at the gum line. Eventually the gums become red and inflamed. As the inflammation progress, the gums become red, puffy and bleed easily.   

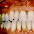
Parodontita superficiala Parodontita superficiala

Early Periodontitis:

If the Inflammation continues for a long period of time. the gums will eventually pull away from the teeth forming a deep pocket or gum crevice. These pockets become filled with bacterial plaque and hard deposits, and bone is lost. The infection at this stage, is usually painless although puss may be present.

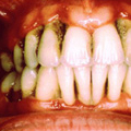
Parodontita profunda Parodontita profunda

Advanced Periodontitis:

The infection over time spreads and becomes more severe. This process results in bone loss, the teeth shift and start to become loose. Advanced gum disease is one of the leading causes of tooth loss in adults. Bone loss is severe and there are gum abscesses. The infection is severe and painful.